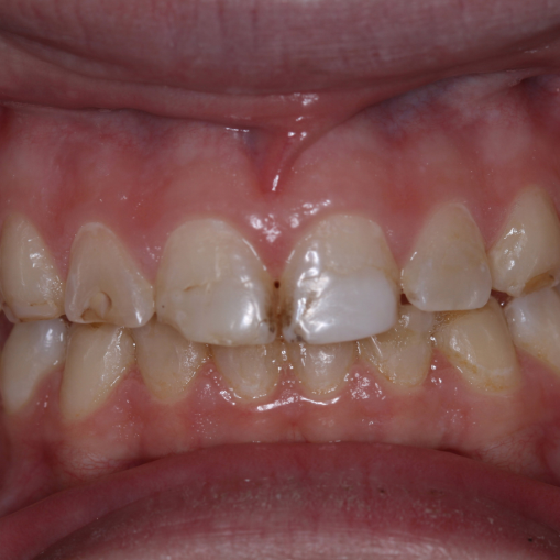
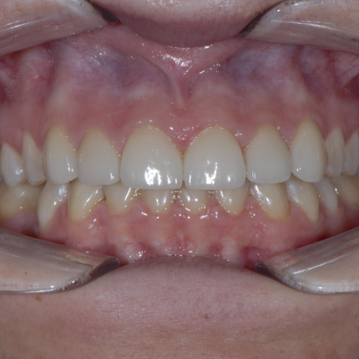
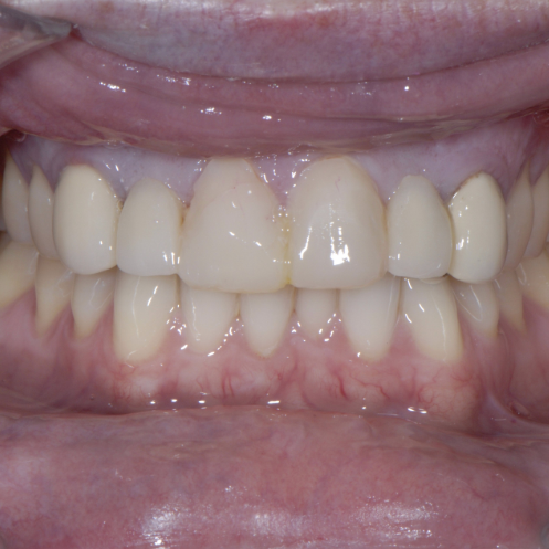
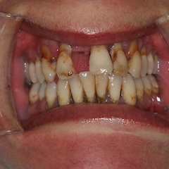
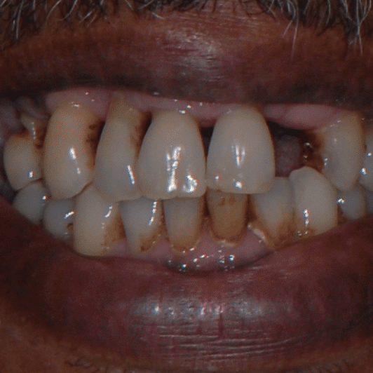
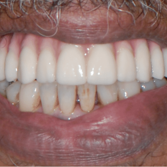
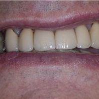
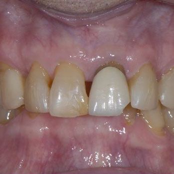
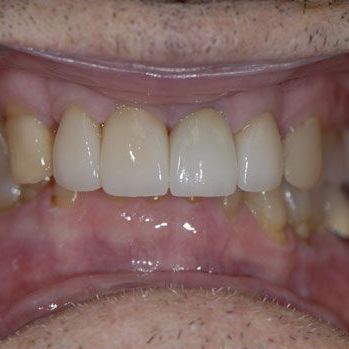
Smile Gallery
Our patients' smiles say it all! Take a look at some recent smile makeovers and see the types of transformations we are able to perform for our patients.
or give us a call
Why Choose Dental Masters
Serving Alexandria, VA Since 2015
We understand that there are many dental offices that you can choose from to receive care, so how do you choose who to trust with your dental health? At Dental Masters, we're proud to offer patients quality care backed by:
Over 15 Years of Dental Experience
English & Spanish Speaking Staff
Kois Center Mentor and Trained Dentist
Specializing in Cosmetic Dentistry
Academy of General Dentists Member
Board Certified Dental Implant Specialist
Hear What Our Happy Patients Have to Say
Nothing speaks more authentically to the level of care we provide than the words of our own satisfied patients. Take a look at what some of our current patients have said about the care they receive at Dental Masters!
Overall Rating: 4.8
150+ Reviews
"I’ve been going to Dental Masters of Alexandria for years and a patient of Dr. Laviola since he started practicing here. He’s very personable, knowledgeable, takes time to explain procedures (I’ve had quite a few!) and is just an amazing dentist. The entire staff is wonderful, always helpful and friendly. Highly recommend!"
Aimee P.
"I have been a patient of Dr. Laviola's for several years now, and this is the best dental practice I have ever been to. Dr. Laviola and the whole team takes extraordinary care to make sure you are always comfortable throughout any cleaning and procedure, both major and minor (I have had both). The entire support team is also great."
Brett E.
"Dr. Laviola explained everything down to the last detail ..Soon after I was getting prepared for a life-changing event with dental implants. The surgery was so simple ..If you follow all instructions on medications there is little to no pain. The dental surgeon is amazing ..Everything from start to finish was done with perfection."
Mark M.
Dental Financing Options
Caring for our patients means helping them feel as comfortable and stress-free as possible about their dental treatment– finances included! If worries about affordability are keeping you from making an appointment with us, we encourage you to explore financing options that can help you manage the cost of care. Check out the trusted companies we work with regularly to help ease the financial burden for our patients.



















































